Advancing Excellence in Science
Who We Are
Our mission is "Advancing Excellence in Science" – providing researchers with rigorously collected, properly preserved, and meticulously documented biological samples that meet international research standards.
Our Mission
Our Promise
We advance excellence in science by ensuring every sample meets strict quality standards, supporting reliable and impactful research.
Axis Biosciences is a specialized biospecimen collection and supply service provider based in Bucharest, Romania. We supply high-quality biological samples to pharmaceutical companies, biotech research firms, clinical research organizations (CROs), academic institutions, and universities across Europe.
QUALITY ASSURANCE & COMPLIANCE:
- All samples collected under strict ethical protocols and informed consent
- Full compliance with European research standards
- Proper chain of custody documentation for every sample
- Clinical data verification and quality control checks
- Sterility and viability testing where applicable
- Comprehensive sample tracking from collection to delivery
- GDPR-compliant data handling and patient privacy protection
- Secure cold chain logistics for all shipments
- Transparent, auditable processes at every step


Our Projects
Precision biospecimen work driving scientific breakthroughs.
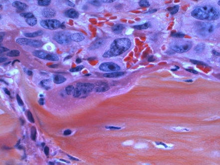
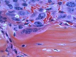
FFPE Samples
Formalin-fixed paraffin-embedded (FFPE) tissue with strict quality control.
- Tumor tissue samples from various cancer types
- Normal tissue controls and baseline samples
- Disease-specific tissue collections
- Comprehensive clinical annotations and pathology reports
- Full provenance documentation for research publication
- Compatible with immunohistochemistry (IHC), FISH, sequencing
- Long-term stable storage and retrieval capability
Fresh Tissue
- Fresh whole blood collection from healthy donors and patients
- Infectious disease screening available
- Proper consent and ethical documentation
Whole Blood
- Fresh tumor or normal tissues
- Rapid turnaround time (sample to delivery in 24-72 hours)
- Optimal preservation for molecular analysis
- RNA, DNA, protein extraction ready
- Suitable for genomics, transcriptomics, proteomics research
- Complete clinical and demographic data included


Our Location
Based in Bucharest, we serve clients across Europe with fast, reliable biospecimen delivery.
Contact
Reach out for samples or inquiries
Phone
© 2026. All rights reserved.
